数百症例のインプラント治療経験を持つ
日本顎咬合学会 認定医が
一人ひとりに合った
自然な噛み心地を追求します。



料金表
- インプラント -
- ストローマンインプラント
(ジルコニアセラミック) - 55万円
- ストローマンインプラント
(ジルコニア) - 44万円
- 後発品インプラント
(ジルコニアセラミック) - 38.5万円
- 後発品インプラント
(ジルコニア) - 33万円
*骨の状態により骨造成などオプションが必要になる場合があります。
世界70か国以上で採用されているストローマンインプラントは、長期的な安定性と高い生体親和性が特長です。骨としっかり結合するチタン素材と独自の表面加工により、早期の治癒と優れた耐久性を実現します。
長年の臨床実績に裏づけられた信頼性の高いインプラントで、質の高い治療をご提供いたします。
当院の特長
上尾歯科では、これまでに数百症例におよぶインプラント治療に携わってきた経験豊富な歯科医師が担当いたします。
骨の状態や噛み合わせのバランスを丁寧に診断し、長く快適に噛めることを重視した治療を行っています。噛み合わせ治療の分野で研鑽を積んだ日本顎咬合学会 認定医として、一人ひとりの噛み心地や審美性にもこだわり、見た目・機能ともに自然な仕上がりを追求。
安心して治療を受けていただけるよう、カウンセリングから手術、メンテナンスまで一貫してサポートいたします。
インプラント治療とは
(自由診療)
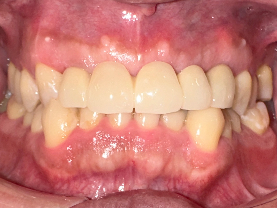
インプラント治療とは、失った歯の代わりに人工の歯根を顎の骨に埋め込み、その上に人工の歯を装着する治療方法です。
天然歯のような見た目や噛む力を再現できるため、入れ歯やブリッジでは得られない安定感や快適さを得られるのが特徴です。
歯を失ったことによる見た目の改善だけでなく、咀嚼(そしゃく)機能の回復やお口全体の健康維持にもつながります。
このようなご要望や症状がある方は、ぜひ一度ご相談ください。
- 自然な見た目の歯を入れたい方
- 入れ歯がズレる、合わないと感じる方
- 食べ物をしっかり噛めず、食事を楽しめていない方
- 隣の歯を削ったり負担をかけたりしない義歯にしたい方
- 見た目や口元のコンプレックスを解消したい方
入れ歯やブリッジとの違い
| 特徴 | インプラント | 入れ歯 | ブリッジ |
|---|---|---|---|
| 見た目 | 天然歯に近い自然な仕上がり | 違和感が出る場合がある | 見た目は自然に仕上げられる |
| 噛む力 | 天然歯と同等の咀嚼力 | 咀嚼力が低いと感じることがある | ある程度は噛めるが、健康な歯に負担がかかる |
| 周囲の歯への影響 | 健康な歯を削る必要がない | 部分入れ歯の場合、周りの歯を支えにするため負担をかける | 隣接する健康な歯を削る必要がある |
| 長期的な安定性 | 顎の骨に人工歯根を埋め込むので安定性が高い | 時間が経つと合わなくなるため、定期的な調整が必要 | 支えとなる歯が弱る可能性がある |
インプラント治療の
メリット
自然な見た目と快適な使い心地が得られる
咀嚼力が回復する
周囲の歯を削らずに装着できる
骨の萎縮や吸収を抑制できる
インプラントの
デメリット
費用が高額になることがある
治療期間が長くなることがある
外科的手術が必要となる
費用を抑える方法
インプラントブリッジ
(ボーンアンカードブリッジ)
オールオン4
片顎(上顎または下顎)に4本のインプラントを埋め込み、その上に総入れ歯のような人工歯列を固定することで効率的に歯列全体の機能と見た目を再現します。
治療費や身体的な負担を抑えられるだけでなく、手術当日に仮歯を装着できるため、通常のインプラント治療よりも早期に食事を再開することが可能です。総入れ歯の使用感に不満を抱えている方や短期間での治療を希望される方にとって、有効な選択肢の一つになります。
インプラント治療の流れ

初回カウンセリング・精密検査
ならびに治療計画のご提案

一次手術
二次手術
※一次手術から2~3か月ほどの期間を設けて手術を行います。(お口の状況により期間は変動します)
型取り
試適
完成・装着
症例
-
症例1
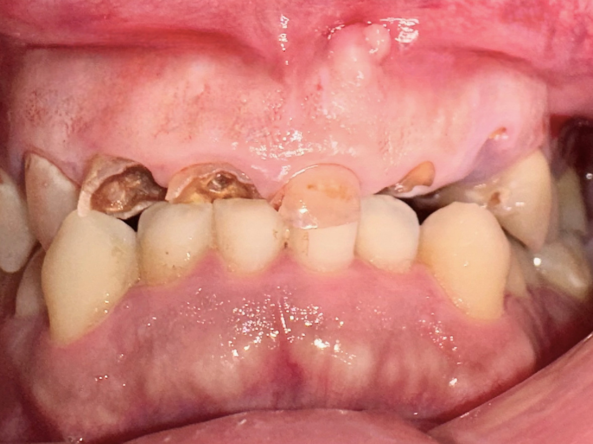
患者様の年齢 30代男性 主訴 前歯がないため噛みきれない、見た目も気になる 治療内容 前歯部インプラント治療3本
抜歯即時インプラント埋入後3ヶ月の待機期間後、ジルコニアによる上部構造装着着費用 142万円 治療期間・通院回数 5ヶ月/7回 デメリット・リスク 外科処置に伴う痛み・腫れ・出血・合併症の可能性があります。 -
症例2
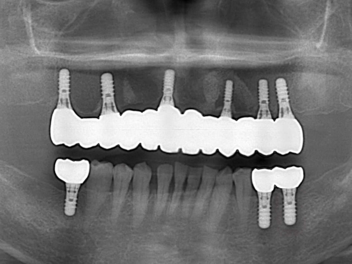
患者様の年齢 70代女性 主訴 入れ歯が痛い 噛みにくい 治療内容 上顎オールオン6
下顎臼歯部3本インプラント治療
抜歯即時インプラント埋入後3ヶ月の待機期間後、ジルコニアによる上部構造装着費用 456万円 治療期間・通院回数 6ヶ月/8回 デメリット・リスク 外科処置に伴う痛み・腫れ・出血・合併症の可能性があります。 -
症例3
患者様の年齢 60代男性 主訴 歯が痛い 治療内容 左下456インプラント治療
抜歯即時インプラント埋入後3ヶ月の待機期間後、ジルコニアによる上部構造装着費用 77万円 治療期間・通院回数 4ヶ月/5回 デメリット・リスク 外科処置に伴う痛み・腫れ・出血・合併症の可能性があります。 -
症例4
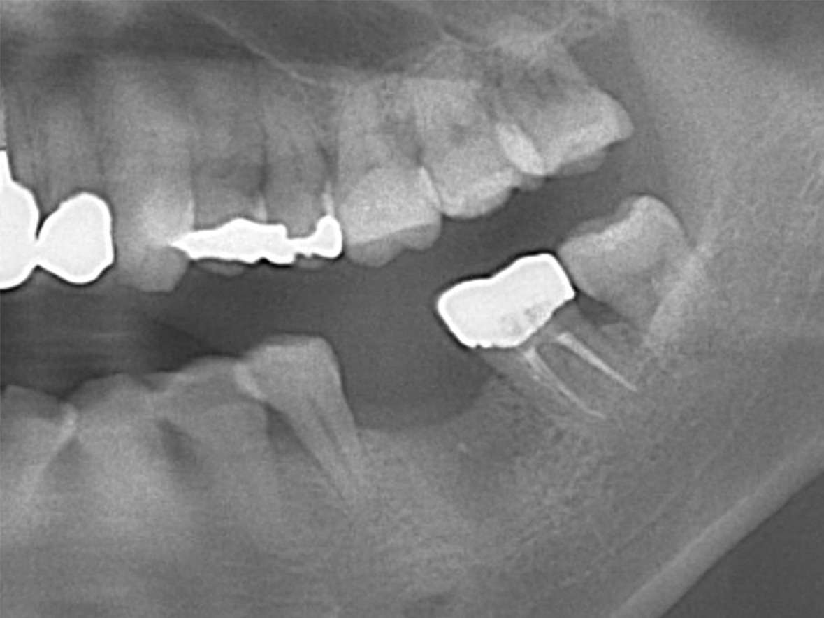
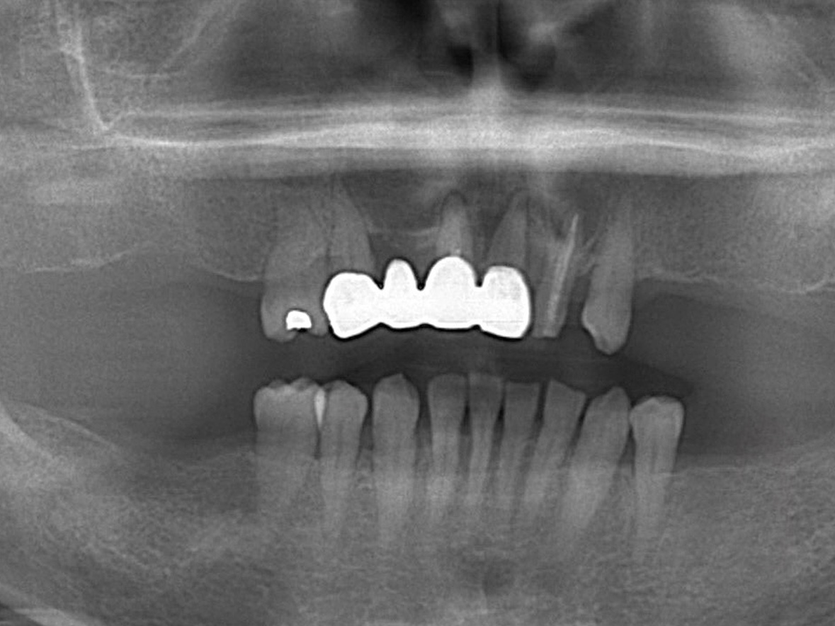
患者様の年齢 40代女性 主訴 噛みづらい 治療内容 右上6インプラント治療
インプラント埋入後2ヶ月の待機期間後、ジルコニアによる上部構造装着費用 44万円 治療期間・通院回数 3ヶ月/4回 デメリット・リスク 外科処置に伴う痛み・腫れ・出血・合併症の可能性があります。 -
症例5
患者様の年齢 30代男性 主訴 差し歯取れた 治療内容 右下7インプラント治療
GBR+抜歯即時インプラント埋入後4ヶ月の待機期間後、ジルコニアによる上部構造装着費用 50万円 治療期間・通院回数 3ヶ月/6回 デメリット・リスク 外科処置に伴う痛み・腫れ・出血・合併症の可能性があります。 -
症例6
患者様の年齢 60代女性 主訴 歯が揺れている 治療内容 右上2インプラント治療
インプラント埋入後2ヶ月の待機期間後、ジルコニアによる上部構造装着費用 44万円 治療期間・通院回数 3ヶ月/5回 デメリット・リスク 外科処置に伴う痛み・腫れ・出血・合併症の可能性があります。 -
症例7
患者様の年齢 50代男性 主訴 他所で抜いたけど噛みにくいため歯を入れたい 治療内容 左下6インプラント治療
インプラント埋入後2ヶ月の待機期間後、ジルコニアによる上部構造装着費用 44万円 治療期間 3ヶ月/5回 デメリット・リスク 外科処置に伴う痛み・腫れ・出血・合併症の可能性があります。
定期検診・メンテナンスが
大切な理由
インプラント周囲炎の予防
そのほかのトラブルの予防
適切なセルフケアと歯科医院でのプロケアを組み合わせることで、快適な状態を長く保てます。
10年保証で治療後もサポート
インプラントの脱落や欠けなどのトラブルも、保証期間内であれば軽減負担額にて治療いたします。
デンタルローンのご案内
一括でのお支払いが難しい場合も、無理のないお支払い回数で治療を受けることができます。
※詳しくはご来院の際にスタッフ・歯科医師にお声がけください。
医療費控除について
医療費控除を受けるには、確定申告の手続きが必要となります。
万が一申告を忘れてしまっても、過去5年間まで遡って申請することが可能です。
そのため、医療機関から受け取った領収書や通院時の交通費の領収書などは、大切に保管しておいてください。
| 月 | 火 | 水 | 木 | 金 | 土 | 日 | 祝 | |
|---|---|---|---|---|---|---|---|---|
| 9:00~13:30 (最終受付 - 13:00) |
● | ● | ● | ● | ● | ● | ● | ● |
| 15:00~20:00 (最終受付 - 19:30) |
● | ● | ● | ● | ● | ★ | ★ | ★ |
※祝日のみ臨時休診の場合があります。

