当院のホワイトニングは、
TiONの薬剤と高性能照射器を使った
低刺激・高効果なオフィスホワイトニングと、
6%過酸化水素を用いた
即効性の高いホームホワイトニングの
2種類をご用意しています。



料金表
- オフィスホワイトニング -
-
- 10分1照射
- 4,400円
-
\ 定期的なメンテナンスにおすすめ /
- 10分3照射
- 9,900円
-
\ 初めてのオフィスホワイトニングに! /
- 10分3照射×3
- 27,500円
- ホームホワイトニング -
-
- セット内容
・上下ホワイトニング用マウスピース
・マウスピースケース
・ホームホワイトニングジェル(TiON home with 6%過酸化水素 ) 2本 - 25,000円
- セット内容
- デュアルホワイトニング -
-
\ 初めての方におすすめ /
- 10分3照射+ホームホワイトニング
- 34,900円
-
\ しっかり白くしたい方におすすめ /
- 10分3照射×3+ホームホワイトニング
- 52,500円
*ホワイトニングを受けるにあたり、術前の診査・診断が必要となります。診査・診断には別途費用がかかります。
すでに当院にてメンテナンスを受けている患者さまや、1年以内に当院を受診済みの患者さまは必要ありません。
当院の特長
当院では、目的やご希望に合わせて「オフィスホワイトニング」と「ホームホワイトニング」の2種類をご用意しています。
オフィスホワイトニングでは、ホワイトニング効果と低刺激性を両立した「TiON In Office」を採用。歯科医院専用の薬剤と照射器を用いて短時間で白さを実感していただけます。
光照射には高性能光照射器「ブリリカビアンコ」を使用。高強度でありながら有害な紫外線(380nm以下)を含まず、発光波長400~480nmの安全で効果的な光を照射するため、歯や歯ぐきへの刺激を抑えつつ効率よくホワイトニング効果を高めます。
ホームホワイトニングには、「TiON home with」を採用しています。一般的な10%過酸化尿素ではなく、6%過酸化水素を使用しており、従来のホームホワイトニングの約2倍の濃度にあたります。10%過酸化尿素が化学反応により約3%の過酸化水素に分解されて効果を発揮するのに対し、当院の薬剤は最初から6%の過酸化水素を含むため、より早く、白さを実感しやすいのが特長です。
安全性と効果の両立を追求した、当院ならではのホワイトニングをぜひご体感ください。
ホワイトニングとは
(自由診療)
歯の白さは、清潔感や若々しさ、健康的な印象を与える重要なポイントです。
当院では、患者さまお一人お一人のライフスタイルやご要望に応じて、適切なホワイトニング治療をご提案しています。特別なイベントの前や日常生活での印象をよくしたい方など、どのような理由でもお気軽にご相談ください。
このようなお悩みやご希望がある方におすすめします。
- 歯の黄ばみや着色汚れが気になる
- 白く美しい歯を手に入れたい
- 口元を明るくし、若々しい印象を与えたい
- タバコやコーヒー、ワインによる歯の着色を落としたい
- 笑顔に自信を持ちたい
1.オフィスホワイトニング(医療ホワイトニング)
2.ホームホワイトニング
3.デュアルホワイトニング
4.ウォーキングブリーチ
ホワイトニングのメリット
短期間で印象が変わる
自宅でのケアで持続性を向上
笑顔の自信を取り戻せる
歯が黄ばむ原因
●飲食物による着色
●喫煙
●歯磨き不足
●加齢
●薬の副作用
●遺伝的要因
ホワイトニングの種類
オフィスホワイトニング(医療ホワイトニング)
●メリット
短期間で白くなり、即効性がある施術です。
●デメリット
通院が必要で、一時的に知覚過敏が起こる場合があります。また。色戻りが早く、約3~6ヶ月でタッチアップ(再びホワイトニングすること)が必要なことが挙げられます。
ホームホワイトニング
●メリット
自宅で手軽にできる上、白さが6ヶ月から1年ほどと長く持続するのが特徴です。
時間をかけて漂白するので歯の深い部分(象牙質)まで漂白できます。
●デメリット
効果が出るまで時間がかかること、毎日の装着が必要なことが挙げられます。
デュアルホワイトニング
●メリット
より効果的で持続性が高いホワイトニングの方法です。
●デメリット
費用が高くなりがちであることと、通院と自宅ケアの両方が必要であることが挙げられます。
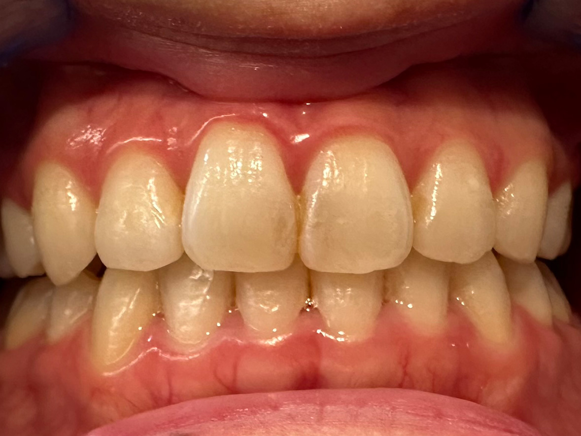
症例
-
患者様の年齢 25歳 主訴 歯が黄色い 治療内容 オフィスホワイトニング 3回照射 費用 9,900円 治療期間・
通院回数1日・1回 デメリット・
リスク一時的に知覚過敏が出る場合や、歯ぐきが一時的に白くなることがあります。
定期的なメンテナンスが必要です。
ホワイトニングのリスク
知覚過敏
治療効果の限界
歯ぐきへの負担
後戻り
ホワイトニングの流れ

カウンセリング

検査と色の確認
歯のクリーニング
施術
タッチアップ
当院では、患者さまのご要望やお悩みに寄り添い、適切な治療プランをご提案します。明るく美しい口元で自信を持ちたい方は、ぜひ当院にご相談ください。
術前にお口の中全体の検査を受けてからの施術になります。
歯周病、歯石、歯ぐきの腫れ、むし歯のある状態ではホワイトニング治療ができない可能性があるので術前の検査は必ず行わせていただきます。
| 月 | 火 | 水 | 木 | 金 | 土 | 日 | 祝 | |
|---|---|---|---|---|---|---|---|---|
| 9:00~13:30 (最終受付 - 13:00) |
● | ● | ● | ● | ● | ● | ● | ● |
| 15:00~20:00 (最終受付 - 19:30) |
● | ● | ● | ● | ● | ★ | ★ | ★ |
※祝日のみ臨時休診の場合があります。